의정부치과 치아를 살릴 수 있다면
근관치료 40,000례 이상
치과보존과 전문의 2인

1. 복합적인 치료가 필요한 케이스
안녕하세요,
의정부치과 의정부성모치과입니다.
금속 수복물인 아말감은 시간이 지나면
가장자리 변연이 미세하게 벌어지거나
주변 치질이 얇아져 균열이 생길 수 있습니다.
이 틈으로 세균과 침이 반복 유입되면 2차 우식이 생기고
씹는 힘이 집중되면 수복물 주변의 취약한 치질이
깨져 파절로 이어지기 쉽습니다.
우식이 신경 가까이 진행했거나
균열로 인해 손상되었다면
근관치료로 염증 조직을 제거하고
내부를 코어로 단단히 보강한 뒤
외부에서 크라운으로 수복해 주어
힘을 고르게 분산시키는 방식이 처치 후
오래 사용하는 데에 유리합니다.
모든 치과 치료는 교합의 방향과 강도,
위생 관리 수준에 따라 결과가 달라지므로
최종 수복 이후의 정기 점검과
양치 습관 지도까지가 치료의 일부입니다.
이번에 의정부치과로 내원해 주신 환자분께서는
처음 검진으로 내원하셨을 때는 여러 치아에서
서로 다른 문제가 동시에 관찰되었습니다.

2. 치료 전 파노라마 사진
빨간색으로 표시된 오른쪽 아래 어금니에는
아말감 주변의 치질이 파절되거나 벌어져 있어서
2차 우식이 진행된 치아가 있었습니다.

3. 치료 계획 수립
왼쪽 위아래에서는 내부 코어까지만 형성된 상태로
최종 보철이 미완성인 치아 두 개가 확인되었는데요.

노란색으로 표시된 부분은 충치가 깊게 진행되어
치관이 약 3분의 1만 남아있었습니다.
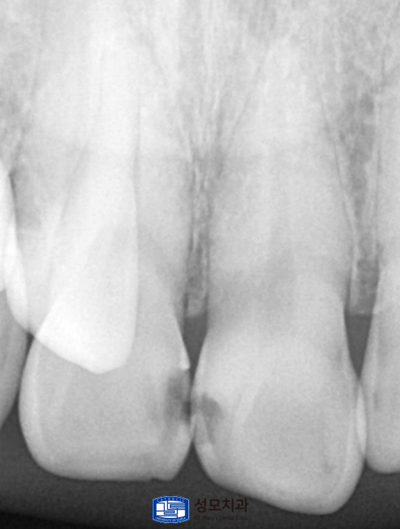
파란색으로 표시된 상악 전치부 첫 번째 앞니의
사이 인접면에는 초기 우식과 변색이 동반되어 있었습니다.
파노라마와 치근단 방사선, 구강 내 검사를 통해
충치와 파절의 범위를 정밀하게 평가한 뒤
가능한 한 자연치를 보존하는 방향으로
단계적 치료 계획을 수립하고 바로 치료를 시작했습니다.

의정부치과 의정부성모치과에서는
먼저 타치과에서 발치 소견까지 받았던
아말감 수복 치아는 기존 수복물을 제거해
균열과 2차 우식의 범위를 눈으로 확인한 뒤
치질을 보존하면서 모두 제거했습니다.
근관 내 소독과 세척을 통해 염증을 정리하고
레진 코어로 제거했던 부위를 보강했습니다.
이후 맞춤 형상의 크라운으로 전체를 감싸
씹는 힘이 특정 벽에 집중되지
않도록 씌워주었습니다.
코어까지만 형성된 채로 방치되어 있던
두 치아는 남은 치질의 두께를
재평가한 후 최종 크라운을 장착했습니다.
이 과정에서 중심 교합 접촉은 넓고
안정적으로 분산시키고 측방 운동 시
과도한 접촉이 걸리지 않도록
교합지를 이용해 미세 조정을 반복했습니다.

치관의 약 3분의 1만 남았던 치아는
치근 길이, 치주 지지, 치경부
균열 여부를 종합 평가한 결과
보존 치료가 가능하다고 판단했습니다.
근관치료로 감염을 제거하고
코어 빌드업으로 남은 치질을 보강하여
크라운을 안정적으로 지지하게 했습니다.

심미와 발음이 민감한 상악 첫 번째 전치의
사이 인접면은 레진으로 수복했습니다.
가능한 충치 부위만을 보존적으로 제거하고
주변 치아와 조화되는 색과 투명도를
레진 재료를 통해 재현했습니다.
마무리 연마를 충분히 시행해
변연을 매끈하게 다듬어
치실 사용 시 걸림이 없도록 했습니다.

4. 치료 후 파노라마 사진
최종 치료가 완료된 파노라마 x-ray사진입니다.
치료 결과 발치가 유력해 보였던 치아는
근관치료와 코어, 크라운 조합으로
기능과 내구성을 회복했고 코어만 있던
두 치아도 최종 크라운으로 마무리되어
파절과 탈락의 위험이 크게 줄었습니다.

전치부 인접면은 레진 수복으로
자연스러운 색과 형태를 되찾아
심미적인 만족도가 높았습니다.
앞니에 생긴 충치를 적절한 시기에
치료하지 않고 방치할 경우,
병변이 악화되어 최종적으로는
근관치료와 크라운 수복으로
치료해야 할 수 있습니다.
저희 의정부성모치과에서는
근관치료를 전문으로 하는
치과보존과 전문의 2인이 진료하고 있지만
근관치료 역시 피할 수 있다면
다른 치료로 대체하는 것이 바람직한데요.
적절한 시기에 알맞은 재료와 방법을
선택한다면, 환자분의 감당해야 할 통증과 시간적,
비용적인 부담 역시 줄일 수 있을 것입니다.
치과보존과 전문의는 오늘 소개드린 케이스처럼
충치의 위치나 크기, 진행 정도에 따라
정밀한 진단 및 그에 따른 적절한 치료를
제공해 드릴 수 있도록 4년간의 수련 과정을
추가로 거친 전문가들입니다.


5. 치료 후 15개월 경과 관찰 파노라마 사진
치료 후 정기검진에서는 방사선 사진으로
근단부와 변연의 변화를 확인하고
보철물과 주변 조직의 건강을
지속적으로 관리하는 것을 원칙으로 하고 있습니다.
치료가 끝나고 15개월이 지난 후
촬영한 파노라마 x-ray 사진입니다.
경과 관찰을 위해 내원해 주셨으며,
치료 부위가 모두 안정적이게 회복되어
사용 시 불편이 없다고 말씀해 주셨습니다.

2024.06월 치료 진행
5. 치료 전후 비교 사진
처음 검진에서 문제를 꼼꼼하게 찾아내고
치아를 보존하는 원칙 아래
단계별로 체계적으로 치료를 진행한 것이
좋은 결과로 이어졌는데요.
환자분의 전신 상태와 생활 습관, 구강 환경을
면밀히 검토하고 가장 적절한 치료 방법을 적용하여
저희 치과는 최선의 결과를
만들기 위해 끝까지 노력하겠습니다.
감사합니다.
* 모든 증례 사진은 의료법 제23조, 제56조에 의거하여
환자분의 동의하에 업로드가 진행되었습니다.
*치료 사진은 모두 본원에서
치료한 환자분 사진입니다.
* 치료 사진은 모두 동일인 사진이며
수술 전후 촬영일자를 표시,
동일 조건에서 촬영하였습니다.
* 개인의 차이에 따라 시술 및 수술 후
부작용이 발생할 수 있으며,
의료진과 충분한 상담을 받으시기 바랍니다.